Fundamentos em Síndrome Coronária Aguda: tudo o que você precisa saber sobre complicações pós-infarto agudo do miocárdio – Episódio 3: Ruptura do músculo papilar
Dr Cesar Augusto Caporrino Pereira

Epidemiologia
A ruptura do músculo papilar (RMP) é uma das complicações mecânicas pós-infarto agudo do miocárdio (IAM) mais importante, correspondendo atualmente por uma incidência que varia de 0,05% até 0,26%.
A mortalidade hospitalar gira em torno de 10-40%, sendo que no estudo APEX-AMI foi evidenciada uma sobrevida em 90 dias de 33% com tratamento medicamentoso vs 69% quando foi realizado tratamento cirúrgico.
Pacientes com RMP tendem a apresentar as seguintes características:
- Idade avançada
- Hipertensão arterial sistêmica
Há perfis de pacientes com menor probabilidade de evoluir com esse tipo de complicação, são eles:
- Diabetes mellitus
- IAM prévio
Apresentação clínica
A ocorrência desta complicação ocorre geralmente na primeira semana do infarto agudo do miocárdio.
Quadro clínico:
- Edema agudo de pulmão
- Choque cardiogênico
- Sopro de regurgitação mitral pode estar ausente (rápida equalização das pressões do átrio esquerdo e do ventrículo esquerdo)
Anatomia e fisiopatologia
Comumente pensamos em músculo papilar anterolateral e posteromedial como uma coluna muscular anterolateral e uma coluna muscular posteromedial, mas essa apresentação corresponde por até 30% dos indivíduos, e a grande maioria das pessoas apresenta-se com cada um desses músculos papilares (anterolateral e posteromedial) com mais de uma coluna muscular. Embora o comum seja denominar como músculo, talvez o mais correto seria chamar de grupo muscular anterolateral ou posteromedial. Curiosamente, resultados oriundos de autópsia também revelam a presença de um grupo muscular acessório (músculo papilar acessório) em 30% dos casos (Figura 1).

Figura 1. Esquemas e ecocardiogramas de variantes comuns em termos do número de colunas de músculos papilares (MP). (A) Um MP típico com um único músculo. (B) Duas colunas de musculares paralelas de MP. (C) Três colunas de musculares paralelas de MP. (D) Quatro colunas de musculares paralelas de MP. (E) O MP acessório (ou seja, MP intermediário, a seta amarela)
O músculo papilar mais suscetível à ruptura é o músculo posteromedial, pois este recebe irrigação única (artéria descendente posterior), sendo proveniente geralmente da artéria coronariana direita (Figura 2), na dominância direita da circulação coronariana (mais comum), ou artéria circunflexa, na dominância esquerda.

Figura 2. Irrigação padrão dos músculos papilares. Músculo inferolateral ou mais conhecido como posteromedial irrigado pela coronária direita. Músculo anterolateral irrigado pela artéria descendente anterior e pela artéria circunflexa. RCA: artéria coronariana direita. LCX: artéria circunflexa. LAD: artéria descendente anterior.
Diagnóstico
Quadro clínico já mencionado, edema agudo de pulmão muitas vezes associado a instabilidade hemodinâmica de instalação abrupta dentro de 1 semana de um evento coronariano agudo (geralmente IAM inferior).
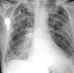
Radiografia de tórax: nota-se importante congestão pulmonar

Ecocardiograma:

A: regurgitação mitral importante

B: Rápido movimento do músculo papilar com prolapso para átrio
Cateter de artéria pulmonar (Swan-Ganz):
- Índice cardíaco reduzido
- Resistência vascular sistêmica elevada
- Pressão capilar pulmonar muito elevada
- Pressão venosa central elevada
- Saturação venosa de 02 reduzida
- Onda V gigante (não é exclusiva, mas é muito comum nesta patologia): possui diversas definições como uma onda V de pelo menos 10 mmHg ou mesmo onda V que se funde com a onda C. (Figura 3 e 4)

Figura 3. Onda V gigante

Figura 4. Curvas sem alterações.
PAWP: curva da pressão capilar pulmonar. RAP: curva da pressão de átrio direito.
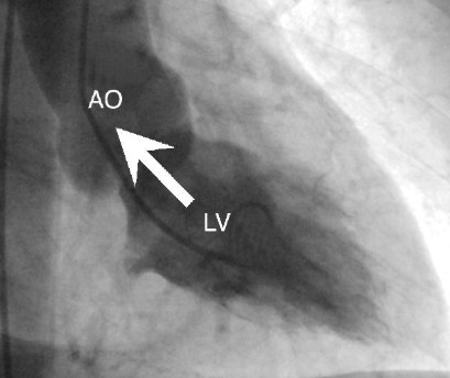
Ventriculografia:

Figura 5. Sem regurgitação mitral
AO: aorta. LV: ventrículo esquerdo

Figura 6. Presença de regurgitação mitral importante (ventrículo esquerdo para átrio esquerdo). LA: átrio esquerdo
Manejo clínico até o reparo
Objetivos:
- Reduzir a pós-carga de VE
- Reduzir a congestão pulmonaSuporte ao miocárdio isquêmico
Medicamentos e suporte:
- VNI ou muitas vezes intubação orotraqueal
- Diuréticos como furosemida EV
- Vasodilatador endovenoso como nitroprussiato de sódio para reduzir pós-carga do VE (quando houver estabilidade hemodinâmica)
- Inotrópicos e vasopressores muitas vezes são necessários devido ao choque cardiogênico
Suporte mecânico, principalmente o balão intra-aórtico (BIA), são utilizados com os seguintes fins:
- Reduzir pós-carga e pré-carga do VE
- Auxílio ao miocárdio isquêmico
- Reduzir dose inotrópicos
- Reduzir dose de vasopressores
- Em algumas situações o balão intra-aórtico isoladamente ou associado a suporte inotrópico como a dobutamina não consegue dar o suporte necessário, nessas situações a ECMO pode ser uma opção a ser associada.
Importante para a condução da RMP:
- BIA é o suporte mecânico de escolha (usado em pacientes estáveis hemodinamicamente de forma profilática) ou em pacientes instáveis
- Impella pode ser utilizado, porém há risco em caso de um músculo papilar flutuando livremente entre as cavidades, pois existe a possibilidade de aspiração pelo mecanismo do dispositivo, levando a mau funcionamento súbito ou mesmo à embolização de debris cardíacos, assim sua indicação deve ser ponderada com cuidado
- Tratamento cirúrgico é o de escolha (troca valvar é o mais comum)
- A insuficiência mitral grave causada por RMP após infarto do miocárdio geralmente justifica cirurgia valvar mitral imediata
- Alto risco cirúrgico – terapia percutânea é uma opção, sendo o dispositivo MitraClip um exemplo
- Revascularização (quando necessária) deve ser realizada no mesmo procedimento – recomendação vista em diversas diretrizes:

Diretriz da AHA de 2021 de revascularização
Referências:
- Gong FF, Vaitenas I, Malaisrie SC, Maganti K. Mechanical Complications of Acute Myocardial Infarction: A Review. JAMA Cardiol. 2021 Mar 1;6(3):341–9.
- Damluji AA, Van Diepen S, Katz JN, Menon V, Tamis-Holland JE, Bakitas M, et al. Mechanical Complications of Acute Myocardial Infarction: A Scientific Statement From the American Heart Association. Vol. 144, Circulation. Lippincott Williams and Wilkins; 2021. p. E16–35.
- Li S, Wang Z, Fu W, Li F, Gu H, Cui N, et al. Left Ventricular Papillary Muscle: Anatomy, Pathophysiology, and Multimodal Evaluation. Vol. 14, Diagnostics. Multidisciplinary Digital Publishing Institute (MDPI); 2024.
- Parrillo JE., Dellinger RPhillip. Critical care medicine : principles of diagnosis and management in the adult. Elsevier; 2019.
- Lawton JS, Tamis-Holland JE, Bangalore S, Bates ER, Beckie TM, Bischoff JM, et al. 2021 ACC/AHA/SCAI Guideline for Coronary Artery Revascularization: A Report of the American College of Cardiology/American Heart Association Joint Committee on Clinical Practice Guidelines. Vol. 145, Circulation. Lippincott Williams and Wilkins; 2022. p. E18–114.
- Estévez-Loureiro R, Lorusso R, Taramasso M, Torregrossa G, Kini A, Moreno PR. Management of Severe Mitral Regurgitation in Patients With Acute Myocardial Infarction: JACC Focus Seminar 2/5. Vol. 83, Journal of the American College of Cardiology. Elsevier Inc.; 2024. p. 1799–817.
Assista ao vídeo
No terceiro e último episódio da série Fundamentos em Síndrome Coronária Aguda – tudo o que você precisa saber sobre complicações pós-infarto agudo do miocárdio, o Dr. Cesar Augusto Caporrino explica como identificar e tratar a ruptura de músculo papilar pós-infarto.



O Triple I - InCor Innovation in Intervention
O Triple I - InCor Innovation in Intervention
Deixe uma resposta
Quer juntar-se a discussão?Fique à vontade para contribuir!