Fundamentos em Síndrome Coronária Aguda: tudo o que você precisa saber sobre complicações pós-infarto agudo do miocárdio – Episódio 2: ruptura do septo interventricular
Dr Cesar Augusto Caporrino Pereira

Epidemiologia
A ruptura do septo interventricular (RSIV) é uma das complicações mecânicas pós infarto agudo do miocárdio (IAM) mais importantes, correspondendo atualmente por uma incidência de aproximadamente 0,3%.
Mortalidade com tratamento conservador é de aproximadamente 90% e com tratamento cirúrgico 40-47%, pelo estudo GUSTO a mortalidade em 30 dias com terapia medicamentosa isolada foi de 94% e a terapia cirúrgica reduziu a mortalidade para 47%.
Pacientes com RSIV têm as seguintes características:
- Idosos
- Mulheres
- Reperfusão tardia
- IAM anterior
- Circulação colateral reduzida
Há pacientes que tem um potencial menor risco de evoluir com este tipo de complicação, pois em muitas situações pacientes com certas comorbidades como as descritas a seguir, cursam com uma rede de colaterais bem desenvolvidas, ou esse menor risco se deve a um possível viés de observação, uma vez que estes pacientes podem evoluir para choque cardiogênico ou mesmo uma ruptura fatal:
- Diabetes mellitus
- HAS
- IAM prévio
- Histórico de tabagismo
Apresentação clínica
A ocorrência desta complicação ocorre na primeira semana, havendo pico bimodal (nas primeiras 24 horas e entre 3 a 5 dias), sendo que a trombólise tardia pode abreviar o início do quadro, pois pode levar a uma transformação do infarto isquêmico em hemorrágico e, portanto, à maior probabilidade de ruptura.
*Lembrar sempre que a trombólise bem como a angioplastia reduzem a incidência de complicações mecânicas.
Quadro clínico:
- Assintomático – choque cardiogênico
- Sopro holossistólico novo, rude e com frêmito na borda esternal esquerda inferior
- Shunt esquerda-direita
- Descontinuidade do septo com evidência de fluxo pelo doppler colorido
- Salto oximétrico de pelo menos 5% (saturação venosa central O2 para a saturação venosa mista de O2)
Fisiopatologia e alterações hemodinâmicas
Irrigação do septo interventricular: artéria descendente anterior (DA) com seus ramos septais responsável pela irrigação do septo médio e apical, já a porção basal do septo tem irrigação pelos ramos septais da coronária direita (CD) que é a dominante em cerca de 70% dos casos, em 20% dos casos as septais são originárias da artéria circunflexa (Cx) ou de ambas as artérias quando houver codominância (10%).
Das RSIV, 60% são secundárias ao IAM anterior, levando ao defeito na porção apical do septo e 40% por IAM inferior, levando defeito à porção basal do septo, cuja alteração é mais complexa e muitas vezes acompanha disfunção de VD e disfunção de musculo papilar, levando a um pior prognóstico.
Quando a RSIV se estabelece ocorre o shunt do ventrículo esquerdo para o direito e como consequências temos:
🡪 Redução do DC + aumento de fluxo pulmonar e sobrecarga de VD (disfunção de VD e congestão pulmonar)
🡪 Redução do DC 🡪Aumento resistência vascular periférica 🡪 aumenta o shunt esquerda – direita

- Determinantes do shunt e dos sintomas
- Tamanho do defeito
- Função de VD
- Resistência vascular sistêmica e vascular pulmonar
- Função de VE
Diagnóstico
Quadro clínico já mencionado, sempre lembrando que pode ser um quadro desde assintomático até mesmo abrir o quadro em choque cardiogênico, tendo o sopro holossistólico novo, rude e com frêmito na borda esternal esquerda inferior como grande comemorativo clínico a ser pesquisado.
Ecocardiograma: evidencia o defeito do septo interventricular em (A) e o shunt da esquerda para a direita em (B):

A: defeito apical do septo interventricular (seta azul)

B: shunt esquerda-direita
Cateter de artéria pulmonar (Swan-Ganz):
– Índice cardíaco reduzido
– Resistência vascular sistêmica elevada
– Pressão capilar pulmonar normal ou elevada
– Pressão venosa central elevada
– Salto oximétrico (diferença de pelo menos 5% da saturação venosa ao coletarmos uma amostra venosa da via proximal/central e compararmos com a amostra de sangue da via distal/mista do cateter – isso se deve ao shunt que ocorre do ventrículo esquerdo para o direito)
– Pode ocorrer o aparecimento de onda V gigante, porém é mais comumente observada em insuficiência mitral aguda.
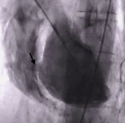
Ventriculografia: ao injetar contraste há a presença da comunicação (seta preta) e observamos contraste no VD:

Manejo clínico até o reparo
- Objetivos:
- Reduzir a pós-carga de VE para reduzir o shunt esquerda-direita
- Suporte ao miocárdio isquêmico
- Auxílio
-
- Swan-Ganz pode ser usado para escalonar ou descalonar terapia
- Medicamentos:
- Vasodilatador como nitratos EV para reduzir pós-carga do VE poderia precipitar deterioramento hemodinâmico (não validado)
- Inotrópicos e vasopressores muitas vezes são necessários devido ao choque cardiogênico
- Suporte mecânico, principalmente o balão intra-aórtico (BIA) ou o impella, são utilizados com os seguintes fins:
- Reduzir pós-carga
- Auxílio ao miocárdio isquêmico
- Reduzir dose inotrópicos
- Reduzir dose de vasopressores
- Em algumas situações o balão intra-aórtico ou impella isoladamente ou associados a suporte inotrópico como a dobutamina não conseguem dar o suporte necessário, nessas situações a ECMO pode ser uma opção de associação de terapias como observamos em (C):

C: reparar que isoladamente a ECMO não seria interessante por até levar ao aumento do shunt, a opção inicial seria BIA ou impella e ECMO seria uma possível associação a algum deles.
Fluxograma de sugestão do manejo da RSIV

MCS: suporte mecânico circulatório
TAH: coração artificial
BiVAD: suporte biventricular de assistência
- Timing: estabilização clínica inicial, deixando a cirurgia ser realizada em 1 a 2 semanas, leva à redução da mortalidade operatória, porém isso pode ser devido a uma melhor conduta ou mesmo ser um viés de sobrevivência, pois o paciente que fica estável por semanas normalmente tem menor risco de mortalidade e passou pela fase mais aguda.

Timing: observamos diversas publicações com diversos momentos de reparo desde a ruptura e a respectiva mortalidade. Observar que sem reparo cirúrgico ou percutâneo a mortalidade é elevada, chegando a 94%.
- Importante para a condução da RSIV:
– Tratamento cirúrgico é o de escolha
– Tempo para cirurgia deve ser postergado quando possível
– Alto risco cirúrgico – terapia percutânea é opção
– Revascularização (quando necessária) deve ser realizada no mesmo procedimento – recomendação vista em diversas diretrizes:
![]()
Diretriz da AHA de 2021 de revascularização
Referências:
- Cubeddu RJ, Lorusso R, Ronco D, Matteucci M, Axline MS, Moreno PR. Ventricular Septal Rupture After Myocardial Infarction: JACC Focus Seminar 3/5. Vol. 83, Journal of the American College of Cardiology. Elsevier Inc.; 2024. p. 1886–901.
- Ronco D, Matteucci M, Ravaux JM, Marra S, Torchio F, Corazzari C, et al. Mechanical Circulatory Support as a Bridge to Definitive Treatment in Post-Infarction Ventricular Septal Rupture. Vol. 14, JACC: Cardiovascular Interventions. Elsevier Inc.; 2021. p. 1053–66.
- Jones BM, Kapadia SR, Smedira NG, Robich M, Tuzcu EM, Menon V, et al. Ventricular septal rupture complicating acute myocardial infarction: A contemporary review. Vol. 35, European Heart Journal. Oxford University Press; 2014. p. 2060–8.
- Damluji AA, Van Diepen S, Katz JN, Menon V, Tamis-Holland JE, Bakitas M, et al. Mechanical Complications of Acute Myocardial Infarction: A Scientific Statement From the American Heart Association. Vol. 144, Circulation. Lippincott Williams and Wilkins; 2021. p. E16–35.
- Lawton JS, Tamis-Holland JE, Bangalore S, Bates ER, Beckie TM, Bischoff JM, et al. 2021 ACC/AHA/SCAI Guideline for Coronary Artery Revascularization: A Report of the American College of Cardiology/American Heart Association Joint Committee on Clinical Practice Guidelines. Vol. 145, Circulation. Lippincott Williams and Wilkins; 2022. p. E18–114.
Assista ao vídeo
No segundo episódio da série Fundamentos em Síndrome Coronária Aguda – tudo o que você precisa saber sobre complicações pós-infarto agudo do miocárdio, o Dr. Cesar Augusto Caporrino explica como identificar e tratar a ruptura de septo intraventricular – a complicação mais comum pós-infarto.




O Triple I - InCor Innovation in Intervention
Deixe uma resposta
Quer juntar-se a discussão?Fique à vontade para contribuir!